|
||||||||||
Ovary |
||||||||||
![]() |
||||||||||
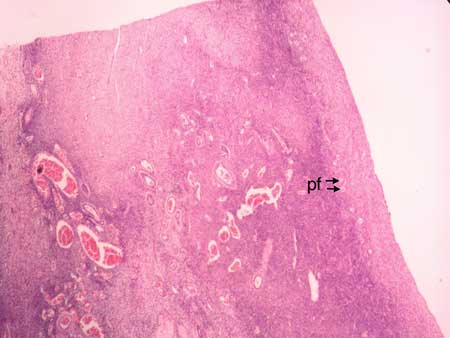
Slide: Ovary |
Microscope at 40X |
|||||||||
|
Primordial follicles pf = primordial follicle po = primary oocyte gc = granulosa cell |
![]() |
|||||||||
Slide: Ovary |
Microscope at 400X |
|||||||||
|
A follicle that has started to grow gc = granulosa cells thc = thecal cells zp = zona pellucida |
![]() |
|||||||||
Slide:Ovary |
Microscope at 400X |
|||||||||
|
Unless otherwise noted, contents © 2006-2026 Karen Hart |
||||||||||